913 South College Road, Suite 108, Lafayette, LA 70503
Woman sitting in dental chair with dental mirror on face, receiving dental treatment from dentist.

Smile Gallery

An individual s mouth with yellow teeth and brown stains, showing a wide smile.

Before

The image shows a close-up of an adult human mouth with a wide smile displaying straight, white teeth, and the person has a full set of upper and lower dentures.

After

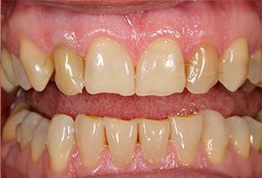
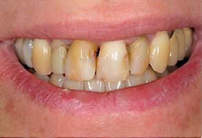
The image shows two close-up views of a person s mouth with yellowed teeth, displaying signs of decay or discoloration.

Before

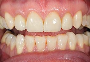
The image displays a close-up view of a person s teeth with an open mouth, revealing yellowed front teeth and gums, suggesting poor oral hygiene or dental issues.

After

The image shows a person with a broad smile revealing teeth, including a prominent gap between two front teeth, and their lips are slightly parted.

Before

The image shows a close-up of a person s face with a wide smile revealing white teeth, set against a neutral background.

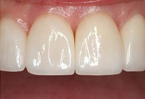
After

The image shows a close-up view of a person s teeth, with a focus on a crooked front tooth and a large gap between two other teeth.

Before

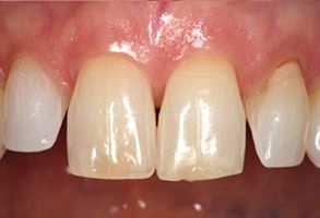
The image shows a close-up view of a person s teeth with a focus on a dental procedure or treatment, possibly highlighting the results of a dental cleaning or cosmetic work.

After

The image shows two close-up photographs of a person s teeth with discoloration and staining, emphasizing dental hygiene concerns.

Before

The image displays a close-up view of a person s teeth with a focus on their lower front teeth, which are prominently white and appear to be well-maintained.

After

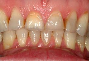
The image shows a close-up view of a person s teeth with yellowing and discoloration, indicating possible dental health issues such as staining or decay.

Before

The image shows a close-up of a person s teeth with a focus on the top front teeth, which appear to be yellowed, possibly indicating the need for dental care.

After

The image shows a person s teeth with yellowish stains, some of which are being held together by a metal bar, suggesting dental work such as braces or a retainer.

Before

The image shows a close-up view of a person s teeth with a focus on a large gap between them, which suggests a need for dental treatment.

After

Get in Touch

913 South College Road
Suite 108
Lafayette, LA 70503

Office Hours

Monday
8:00 am - 4:00 pm
Tuesday
7:30 am - 3:00 pm
Wednesday
8:00 am - 4:00 pm
Thursday
7:30 am - 3:00 pm